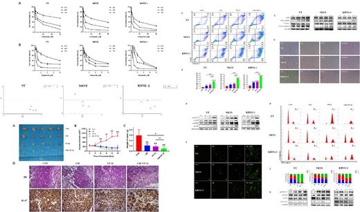
Natural killer/T cell lymphoma (NKTCL) is a highly aggressive hematological malignancy. However, there is currently no consensus on first-line therapies for refractory/relapsed patients. Chidamide is a self-researched and developed HDACs inhibitor, and when combined with DNA-damaging agents, exhibited a clinical synergistic effect for the treatment of some solid tumors and hematological malignancies. Thus in this study, a series of in vitro and in vivo experiments were conducted to explore the efficacy and potential mechanisms of combined chidamide and etoposide treatment in NKTCL. We demonstrated that chidamide or etoposide alone dose- and time-dependently inhibited the cell viability of NKTCL cell lines, YT, NKYS and KHYG-1. Functional experiments suggested that combined chidamide and etoposide treatment exerted synergistic antiproliferation effect and enhanced cell apoptotic death both in vitro and in vivo. Furthermore, the expression of DNA damage related proteins was detected and we also examined the alternations in histone acetylation, cell cycle progression, and mitochondrial membrane potential (MMP). The results suggested that increased histone acetylation, cell cycle arrest at the G2/M phase and loss of MMP, converging to greater DNA damage, might account for the synergism of the combination of chidamide and etoposide in NKTCL. Taken together, our study supplements the clinical application of combining HDACs inhibitors and DNA-damaging agents on treating hematological malignancies but also provide an experimental basis for improved therapeutic efficacy and decreased complications for patients with NKTCL.

Disclosures

No relevant conflicts of interest to declare.

Sign in via your Institution